Anestesia e Valvulopatia: Abordagem Individualizada e Segura

Introdução à Relação entre Anestesia e Valvulopatia Valvulopatias constituem um conjunto de enfermidades que afetam o funcionamento das válvulas cardíacas — sejam elas mitral, aórtica, tricúspide ou pulmonar —, levando a estenoses (estreitamentos) ou insuficiências (regurgitações). Essas alterações mecânicas prejudicam o fluxo adequado de sangue, sobrecarregando o miocárdio e predispondo o paciente a disfunções hemodinâmicas. […]
Anestesia e Tireoide: Manejo Seguro e Atualizado

Introdução aos Desafios da Anestesia em Distúrbios Tireoideanos A correlação entre Anestesia e Tireoide desperta grande interesse no meio médico, pois o funcionamento inadequado da glândula tireoide provoca repercussões sistêmicas que influenciam diretamente a segurança do ato anestésico. A tireoide, responsável pela produção dos hormônios T3 (triiodotironina) e T4 (tiroxina), regula diversas funções do organismo, […]
Anestesia e Traumatismo Cranioencefálico: Manejo e Cuidados Primordiais

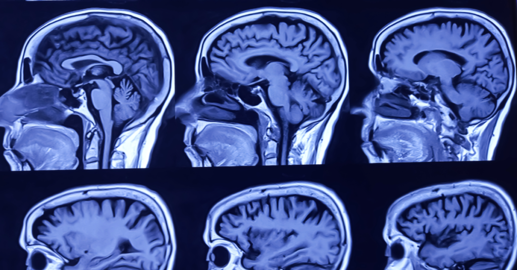
Introdução ao Cenário de Anestesia e Traumatismo Cranioencefálico O traumatismo cranioencefálico (TCE) consiste em uma lesão que acomete o encéfalo em decorrência de trauma físico, seja por acidentes de trânsito, quedas, agressões ou outros mecanismos de alta energia. A severidade do TCE varia desde contusões cerebrais leves até danos difusos e edema intracraniano extenso, implicando […]
Anestesia e Síndrome de Lambert-Eaton

Introdução à Síndrome de Lambert-Eaton (LEMS) e Desafios Anestésicos A Síndrome de Lambert-Eaton (LEMS) caracteriza-se pela redução na liberação de acetilcolina na placa motora, decorrente de autoanticorpos que atacam os canais de cálcio pré-sinápticos na junção neuromuscular. Com isso, a produção do potencial de ação no músculo é prejudicada, gerando fraqueza proximal, reflexos tendíneos reduzidos […]
Anestesia e Sepse: Manejo Integrado e Suporte Avançado

Introdução ao Cenário de Anestesia e Sepse A sepse representa uma resposta inflamatória sistêmica desencadeada por infecções graves, na qual o organismo se vê em luta intensa contra patógenos, mas frequentemente sofre danos colaterais em função do desequilíbrio imune. Trata-se de uma síndrome potencialmente fatal, que afeta múltiplos órgãos pela cascata inflamatória e pela disfunção […]
Anestesia e Queimaduras: Manejo Seguro e Perspectivas Atuais

Introdução à Relação entre Anestesia e Queimaduras A queimadura, resultado de agressão térmica, química ou elétrica aos tecidos, gera não apenas destruição local da pele, mas também repercussões sistêmicas significativas. Em casos de queimaduras extensas, por exemplo, o organismo sofre com perda de fluidos, complicações infecciosas e um estado hipermetabólico que pode desestabilizar vários sistemas. […]
Anestesia e Pré-Eclâmpsia: Manejo Seguro e Cuidados Essenciais

Introdução à Relação entre Anestesia e Pré-Eclâmpsia A pré-eclâmpsia consiste em uma síndrome específica da gestação, caracterizada por hipertensão arterial e proteinúria após 20 semanas de gravidez, podendo evoluir para complicações sistêmicas graves. Em quadros mais avançados, o comprometimento vascular e a inflamação generalizada afetam rins, fígado, cérebro e placentação, levando a riscos para mãe […]
Anestesia e Politrauma: Manejo Integrado e Cuidados Essenciais

Introdução ao Cenário de Anestesia e Politrauma O politrauma descreve um estado em que o paciente sofre múltiplas lesões graves, envolvendo diversos órgãos ou sistemas, muitas vezes em decorrência de acidentes de trânsito, quedas de grande altura ou ferimentos por projétil de arma de fogo. Nesse contexto, Anestesia e Politrauma se entrelaçam de modo desafiador, […]
Anestesia e Parkinson: Abordagem Segura e Individualizada

Panorama Geral sobre Anestesia e Parkinson A doença de Parkinson configura-se como um distúrbio neurodegenerativo progressivo, marcado pela redução de dopamina na via nigroestriatal. Esse quadro culmina em tremores, rigidez muscular, bradicinesia e instabilidade postural, além de potenciais alterações em outras funções autonômicas. Para o anestesiologista, o encontro entre Anestesia e Parkinson envolve peculiaridades importantes, […]
Anestesia e Pancreatite Aguda: Abordagens e Cuidados Essenciais

Introdução ao Cenário de Anestesia e Pancreatite Aguda A pancreatite aguda é um processo inflamatório do pâncreas, que pode variar de formas leves e autolimitadas até quadros severos com necrose pancreática, falência de múltiplos órgãos e alta letalidade. As causas mais frequentes incluem cálculos biliares, abuso de álcool e hipertrigliceridemia, embora etiologias menos comuns também […]
